В Подмосковье у подростка удалили пятисантиметровую опухоль мозга
. Какие были симптомы и жалобы
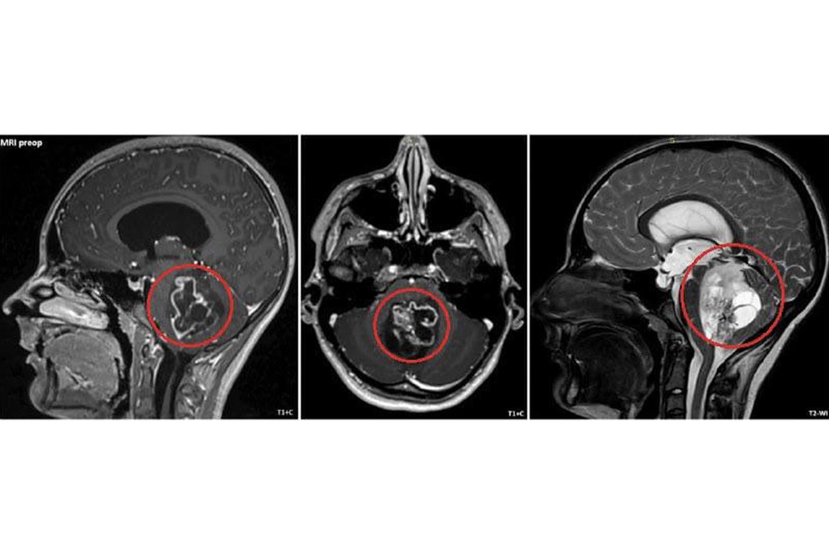
Нейрохирурги Центра Рошаля удалили пятисантиметровую опухоль мозга у 15-летнего подростка, сообщили РБК Life в минздраве Московской области.
Пациент жаловался на постоянную тошноту и рвоту. Опухоль мозга обнаружили при углубленном обследовании, она находилась в задней черепной ямке. При такой локализации последующий рост опухоли мог обернуться нарушением жизненно важных функций.
Объемное новообразование — пятисантиметровая опухоль в задней черепной ямке
«Мы провели пациенту операцию, в ходе которой с помощью ультразвукового аспиратора аккуратно удалили образование с сохранением критически важных структур головного мозга», — сообщил заведующий нейрохирургическим отделением Аслан Текоев.
Сейчас юный пациент чувствует себя хорошо, его уже выписали. «В дальнейшем он сможет вернуться к привычной жизни», — уточнили в Минздраве.
Как опухоль мозга удаляли 12-летнему мальчику в Тюмени
В Федеральном центре нейрохирургии Минздрава России в Тюмени провели операцию с пробуждением 12-летнему мальчику. У ребенка обнаружили большую опухоль мозга, которая сдавливала речевые зоны. Диагноз поставили перед соревнованиями — подросток занимается боксом.
В ходе хирургического вмешательства ребенок отвечал на вопросы логопеда. Такой способ проведения операции помог избежать повреждения жизненно важных функций мозга, которые отвечают за речь, движение, зрение и слух. «Когда пациент разговаривает, врач понимает, что его хирургические действия верны», — объяснили в Минздраве России.














