Ученые создали имплант, который возвращает зрение незрячим пациентам
. С ним потерявшие зрение люди научились различать буквы и даже читать
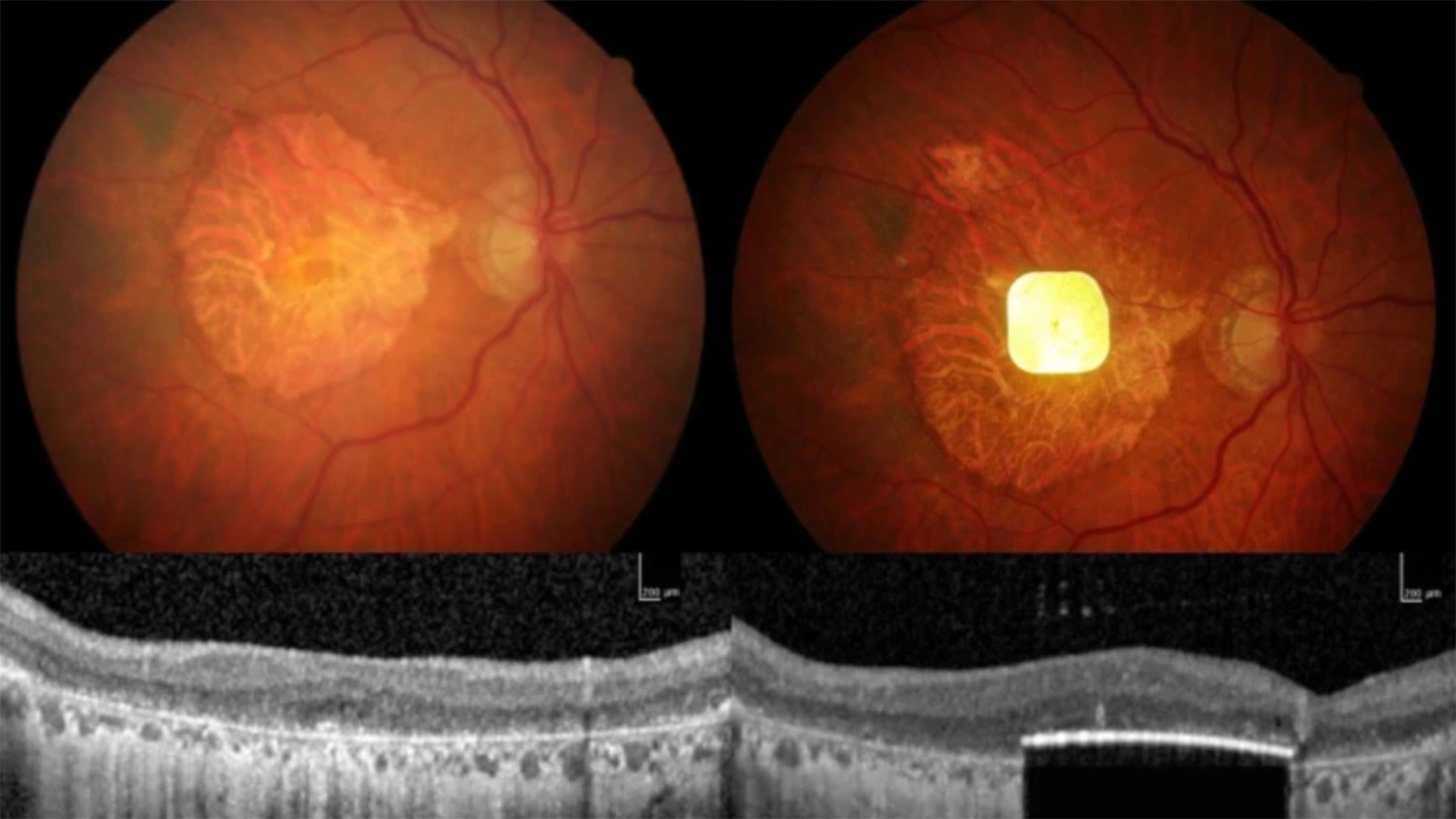
Глазной имплантат с искусственным интеллектом
Ученые создали глазной имплантат с искусственным интеллектом, который возвращает способность читать пациентам, потерявшим зрение из-за макулярной дегенерации. Это первый в мире прибор, который помогает восстановить зрение при ее запущенной форме — географической атрофии, сообщает Interesting Engineering со ссылкой на The New England Journal of Medicine.
Имплантат под названием PRIMA был разработан для пациентов, ослепших из-за возрастной макулярной дегенерации. Это заболевание вызывает дегенерацию клеток сетчатки и приводит к необратимой потере зрения. По данным специалистов, по всему миру тяжелой формой этого заболевания страдают около 5 млн человек. Эффективного лечения этой болезни пока не существует.
Исследование устройства провели ученые из Университетского колледжа Лондона и офтальмологической клиники Мурфилдс. В испытаниях приняли участие 38 пациентов из 17 больниц в пяти странах. Результаты оказались впечатляющими: благодаря импланту 84% участников вновь смогли различать буквы, цифры и слова. В среднем пациенты прочитывали пять строк в стандартной таблице проверки зрения, хотя до операции многие не могли различить ни одной буквы.
Процедура установки имплантата занимает менее двух часов. Хирурги сначала удаляют стекловидное тело глаза, затем под центральную часть сетчатки вводят микрочип размером 2×2 мм. После восстановления пациенты надевают очки дополненной реальности с камерой, подключенной к небольшому компьютеру на поясе. Доцент Института офтальмологии Университетского колледжа Лондона Махи Мукит отметил, что операцию по установке имплантата сможет провести любой квалифицированный витреоретинальный хирург.
Камера фиксирует изображение и направляет его в виде инфракрасного сигнала на имплантат. Алгоритмы искусственного интеллекта преобразуют данные в электрические импульсы, которые через зрительный нерв передаются в мозг. С течением времени пациенты учатся сканировать текст, увеличивать изображение и постепенно возвращают навык чтения.
Участница исследования из Великобритании Шейла Ирвин рассказала, что до операции видела перед глазами лишь «два черных диска», речи о чтении идти не могло. После установки имплантата она вновь смогла видеть буквы. Женщина призналась, что процесс обучения чтению был трудным, но с практикой стало легче. Сейчас она снова читает книги, решает кроссворды и может прочитать этикетки на товарах.
Проект возглавил доктор Франк Хольц из Боннского университета. Устройство PRIMA разработано компанией Science Corporation, которая специализируется на нейроинженерии и технологиях взаимодействия мозга с компьютером.
Как людям возвращают возможность говорить
Ученые из Калифорнийского университета в Дэвисе разработали технологию, которая возвращает способность говорить людям с боковым амиотрофическим склерозом (БАС). Новая система — это разновидность интерфейса «мозг — компьютер». В мозг пациента имплантируют четыре массива микроэлектродов, которые фиксируют активность нейронов в речевом центре. Эти данные передаются компьютеру и в реальном времени преобразуются в речь. От мысли до воспроизведения слова проходит всего 0,025 секунды — почти как при обычной речи.
С помощью такой системы мужчина смог говорить с близкими и даже напевать простые мелодии. Более того, пациент мог интонационно выделять важные слова, задавать вопросы и произносить новые слова, не входившие в исходный набор. Как уточнили ученые, технология представляет собой так называемый цифровой голосовой тракт — канал, через который мозг напрямую управляет синтезом речи.
В апреле стало известно о другой разработке: специалисты Калифорнийского университета в Беркли с помощью мозгового имплантата помогли восстановить речь пациентке по имени Энн с тяжелым параличом. Патологическое состояние у нее развилось в результате травмы.
Ученые также создали систему искусственного интеллекта, которая синтезирует и транслирует сигналы мозга в виде речи практически в режиме реального времени. Как отметил один из авторов статьи, Гопала Ануманчипалли, подход позволяет декодировать речь подобно таким механизмам, как Alexa и Siri. Речь декодируется уже после того, как мысль сформирована и человек знает, что хочет сказать, какие слова и мышцы речевого тракта будет использовать.













